WORRIES
こんなお悩みありませんか
鏡を見るたびに銀歯が目に入ってしまう
鏡に向かってメイクをしている時、ふとした瞬間に口の中の銀歯が目に入ると気になってしまうもの。特に手前の歯の場合は大きく口を開けなくても目に入ってきますよね。
人からの口元への視線が気になる
食事や界隈の際、何となく人の視線が口元へ集まっているような気がすることはありませんか?一度気になってしまうと楽しいおしゃべりの時間も口元に意識が集中してしまいますよね。
銀歯が気になって思いっきり笑えない
銀歯が気になって大きな口を開けて思いっきり笑えない…なんてことはありませんか?前歯はもちろん奥歯の銀歯に関しても大きく口を開けると目立ってしまうことがありますよね。
CAUSE
詰め物・銀歯が目立つ位置・原因

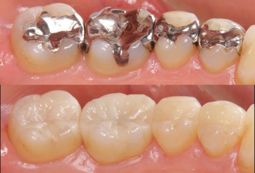
そもそも銀歯は歯の色とは大きく異なるため目立ちやすいですが、使い続けることにより更に色が際立って見えることがあります、
銀歯を使い続けると溶けだした銀イオンが歯茎に沈着し、歯肉が黒くなってしまう場合があります。
それによって更に銀歯の存在が目立ってしまうのです。
特に少し口を開けただけで見えてしまう前歯や手前の歯については目立ちやすくなってしまいます。
銀歯を使い続けると溶けだした銀イオンが歯茎に沈着し、歯肉が黒くなってしまう場合があります。
それによって更に銀歯の存在が目立ってしまうのです。
特に少し口を開けただけで見えてしまう前歯や手前の歯については目立ちやすくなってしまいます。
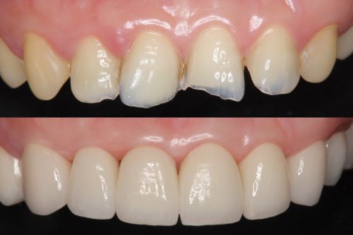
目立たなくするには

銀歯を目立たなくするには、銀歯を別の素材に替えるのが最善です。
一度付けた銀歯を外して別の素材を付けなおすのは時間も金もかかりますが、銀歯も永久ではなく劣化したり、菌が入り込んで虫歯が再発する可能性もあります。
そのため銀歯から別の素材に付け替える場合も、時間とコスト相応のメリットがあると言えるでしょう。
一度付けた銀歯を外して別の素材を付けなおすのは時間も金もかかりますが、銀歯も永久ではなく劣化したり、菌が入り込んで虫歯が再発する可能性もあります。
そのため銀歯から別の素材に付け替える場合も、時間とコスト相応のメリットがあると言えるでしょう。
CROWN
クラウン
クラウンとは?

クラウンとは主に神経まで進んだ虫歯をかぶせ物で修復する治療のことを指します。
クラウンの目的は虫歯などで大きく形が崩れた歯の機能や形を修復することです。
治療に使われるかぶせ物は、保険適用の金属製のものと保険適用外のセラミック製などがあります。
クラウンの目的は虫歯などで大きく形が崩れた歯の機能や形を修復することです。
治療に使われるかぶせ物は、保険適用の金属製のものと保険適用外のセラミック製などがあります。
クラウンのメリット・デメリット

クラウンのメリットとしては虫歯を大きく削るため虫歯が残りにくいこと、歯を丸ごと覆うように修復物を被せるため強度が強いことが挙げられます。
デメリットとしては、素材や場所によっては目立ちやすいことが挙げられます。
デメリットとしては、素材や場所によっては目立ちやすいことが挙げられます。
治療の流れ

まずは機械を使って虫歯を除去し歯の形を整えます。
表面に見えている虫歯だけではなく、歯の深部まで広がった虫歯も除去し、歯の根元を消毒し仮の蓋を被せます。
一度の治療で進めるのではなく、数回に分けて少しずつ治療を進めていきます。
歯の型を取ってからかぶせ物が出来上がるまでは、仮の蓋を被せている期間はお食事などに気を付けていただく必要があります。
表面に見えている虫歯だけではなく、歯の深部まで広がった虫歯も除去し、歯の根元を消毒し仮の蓋を被せます。
一度の治療で進めるのではなく、数回に分けて少しずつ治療を進めていきます。
歯の型を取ってからかぶせ物が出来上がるまでは、仮の蓋を被せている期間はお食事などに気を付けていただく必要があります。
INLAY
インレー

インレーとは?
インレーはクラウンよりも軽度の虫歯や浅い虫歯に対して行われる治療です。
クラウンは歯全体に被せるイメージですが、インレーでは歯の一部分に修復物を詰めることで歯の形や機能を取り戻します。
クラウンと同じく保険適用の金属製のものと、保険適用外のセラミック製などがあります。
クラウンは歯全体に被せるイメージですが、インレーでは歯の一部分に修復物を詰めることで歯の形や機能を取り戻します。
クラウンと同じく保険適用の金属製のものと、保険適用外のセラミック製などがあります。
インレーのメリット・デメリット
メリット
- インレーのメリットは一部分のクラウンに比べて修復のため詰め物が目立ちにくいこと、削る歯を最小限に抑えられることが挙げられます。
メリット
-
デメリットとしては、歯の隙間に詰め物をするため欠けやすいことが挙げられます。
そのため歯の状態と患者様のご希望を総合的に判断してクラウンかインレーかどちらの治療をするかが決定します。
治療の流れ

タケモト歯科ではPMTCによるメンテナンスも取り入れております。
メリットがある反面、お口の状態によっては歯茎を傷つける可能性があるため、医師や歯科衛生士がしっかり判断した上で使用します。
定期的にPMTCによるお口の清掃を行うことで、歯に汚れが付きにくく、歯垢や歯石が貯まりにくい状態を保つことができます。
お口の健康を維持したい!PMTCを体験してみたい!そのような場合はタケモト歯科までご相談ください。
メリットがある反面、お口の状態によっては歯茎を傷つける可能性があるため、医師や歯科衛生士がしっかり判断した上で使用します。
定期的にPMTCによるお口の清掃を行うことで、歯に汚れが付きにくく、歯垢や歯石が貯まりにくい状態を保つことができます。
お口の健康を維持したい!PMTCを体験してみたい!そのような場合はタケモト歯科までご相談ください。
CERAMIC
セラミック
セラミックとは?

クラウンとインレーに使用する修復物は金属やセラミックなどが選択できます。
セラミックは金属や他の素材と比べても一番自然の歯に近く目立ちにくいという特徴があります。
セラミックは金属や他の素材と比べても一番自然の歯に近く目立ちにくいという特徴があります。
セラミックのメリット・デメリット

セラミックのメリットは何と言っても目立ちにくいという新美声の高さです。
見た目だけではなく、歯にしっかり癒着するため隙間が生まれにくく虫歯の再発を起こしにくいです。
また金属アレルギーの人にも使用できます。
セラミックのデメリットとしては銀歯に比べると強度が劣ること、費用が高いことが挙げられます。
見た目だけではなく、歯にしっかり癒着するため隙間が生まれにくく虫歯の再発を起こしにくいです。
また金属アレルギーの人にも使用できます。
セラミックのデメリットとしては銀歯に比べると強度が劣ること、費用が高いことが挙げられます。
治療の流れ

クラウン治療、インレー治療の場合はご希望に沿いながら希望の素材を選んでいきます。
目立つ銀歯をセラミックに替えたい場合は、銀歯を取り外してから改めて歯型を取り、セラミックを被せていくという流れになります。
目立つ銀歯をセラミックに替えたい場合は、銀歯を取り外してから改めて歯型を取り、セラミックを被せていくという流れになります。






